Retracțiile gingivale – acestea pot fi cauzate de:
- periaj agresiv, cu periuțe dure, folosite în sens orizontal
- trauma ocluzală
- tratamentul ortodontic la vârstă adultă
- evoluția bolii parodontale
Acestea sunt cel mai frecvent tratate chirurgical, lipsa de țesut fiind înlocuită de o autogrefă de țesut conjunctiv.
Cazuri clinice exemplificate – înainte și după tratamentul chirurgical








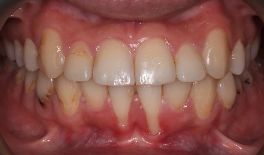
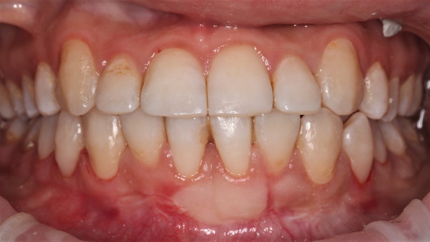
Parodontita marginală cronică profundă – cea mai frecventă formă de îmbolnăvire parodontală, în rândul adulților – aspect înainte și după tratamentul parodontal nechirurgical.
Cazul I
În acest caz, resorbțiile osoase au fost reduse și reducerea inflamației gingivale nu a fost însoțită de retracții gingivale. Aspect final la un an, timp în care s-au tratat cariile/ înlocuit obturațiile la microscop.
Cazul II
Se poate observa că reducerea inflamației a dus la apariția unor triunghiuri negre la nivelul gingiei. Desigur, dacă si dvs. aveți aceste spații trebuie să știți că întreținerea lor se face prin folosirea zilnică a dușului bucal și a periuțelor interdentare.
Cazul III
Abces parodontal la dinții frontali mandibulari – se poate observa retracția severă atât a gingiei, după simpla îndepărtare a tartrului la microscop și îndepărtarea țesuturilor inflamate cu laserul, cât și a osului, vizibilă radiologic.
De reținut! De multe ori tratamentul abcesului parodontal este amânat luni, chiar ani de zile din cauză că nu prea doare, se simte doar o tensiune la apăsare însoțită uneori de o secreție gălbuie cu gust neplăcut, o jenă, o senzație de mâncărime sau de presiune ceea ce duce la pierderi iremediabile ale osului, așa că dacă simțiți o bobiță, o umflătură pe gingia din jurul oricărui dinte nu ezitați să cereți o opinie în această privință.