Salutare dragi pacienți și colegi,
La ceas de toamnă, se cuvine să numărăm recolta, iar anul acesta am decis să văd ce a crescut din toate semințele plantate în ultimii 7 ani de practică.
Așa că, pentru a veni în sprijinul tuturor celor care, fie au o afecțiune parodontală și vor să știe ce opțiuni de tratament există pentru aceasta, fie sunt medici cu suflet și vor tot ce e mai bine pentru pacienții lor, am atașat acest portofoliu care reprezintă o parte a muncii mele din ultimii ani. Am ales cazuri cu rezultate stabile și follow-up de cel puțin 1 an.
Mulțumesc din suflet medicilor mei colaboratori pentru toată încrederea pe care mi-au acordat-o, precum și dorinței lor de tratamente frumoase care să ne bucure atât pe noi, dar mai ales pe pacienții noștri.
Keep your teeth and gums safe!
0 dinți, 0 probleme!
Oameni dragi,
Prețuiți-vă dinții precum prețuiți orice alt organ din corpul vostru. Nu există obiect creat de om mai valoros decât corpul fiecăruia dintre noi.
Dinții voștri, fie că sunt lungi, scurți, galbeni, albi, drepți sau strâmbi, conțin informația voastră genetică și s-au dezvoltat conform particularităților fiecărui individ, astfel încât să iși servească cât mai bine scopul. Nu vă mai amăgiți cu idei prin care dacă scăpați de dinți, scăpați și de probleme. Oho, de-abia de aici încep să apară unele noi – tulburări articulare, digestive, cardiace.
Implantele, deși sunt cea mai elegantă metodă de inlocuire a unui dinte lipsă, nu sunt garantate pe viață sau 30 de ani sau cât mai prefera oricine să zică numai ca să vă convingă să renunțați la dinții voștri.
Un implant cu un design cât mai biologic, împreună cu coroana aferentă costă minimum 1500 euro, dentiția ideală e considerată a avea 28 de dinți, asa că toți suntem bogații beneficiari ai unei danturi de minimum 42.000 euro, asta în cazul în care ne-am putea permite sa punem pe același nivel de egalitate dinții și implantele. Prețuiți această comoară și îngrijiți-o întocmai și nu vă mai așteptați să recăpătați artificial ceea ce natura a construit deja în mod ideal.
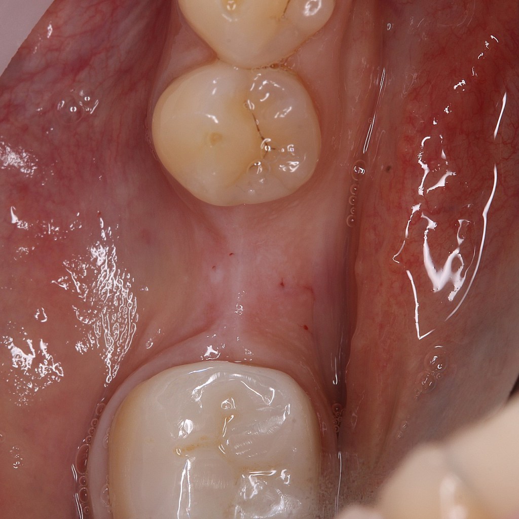
Atașez pozele unui pacient care până la vârsta de 44 ani nu a fost niciodată la dentist, cu reflex de vomă exagerat și igienă deficitară, speriat că i s-a propus extracția a peste 50% din dinți din cauza mobilității generalizate de gradul II și III. Am mers pe varianta clasică, debridare parodontală nechirurgicală, la microscop, cu anestezie locala în toate cadranele, realizată într-o singură ședință. Am administrat antibiotic pe cale generală și am urmărit respectarea indicațiilor de igienă prin controale lunare. Rezultatele la 6 luni vorbesc de la sine, acum putând să ne ocupam liniștiți de regenerarea defectelor osoase de la nivelul 21 22, de altfel singurii dinți care mai au mobilitate.
Iar retracția de la 31 s-a vindecat singură 🙂 Pentru că timpul e, uneori, cel mai bun tratament.


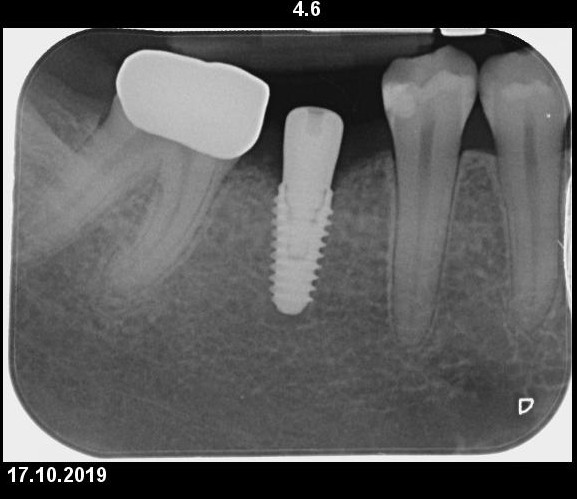
Implant Megagen Anyridge, inserat intr-o creasta atrofica, de 6,5mm latime. Simple anyridge implant placement, with bone expansion and CTG to compensate the 6,5mm bone crest.

Insufficient crest width and thin tissue







Dinte sau implant?
O întrebare pe care mulți dintre voi și-o pun. Să păstrez un dinte mobil, dar funcțional sau să îl înlocuiesc cu un implant nou și fix?
În zilele noastre bătălia asta se dă tot mai des și cel care are cel mai des de pierdut este, din păcate, dintele natural. Din punctul meu de vedere, avantajele și dezavantajele păstrării unui dinte afectat parodontal, respectiv înlocuirii lui cu un implant sunt insuficient discutate. Asa ca am pregătit o poveste lungă pentru voi, spor la citit!
Ne aflăm in secolul vitezei și de multe ori avem impresia că dacă internetul a evoluat la viteza 5G, același lucru se întâmplă și în medicină. E drept, progresele medicale din ultimii 20 de ani sunt fantastice, dar să nu uităm că evoluția unei sarcini este tot de 9 luni, la fel cum durata medie de formare a unui dinte permanent este de aproximativ 6 ani. Evoluăm tehnologic, dar nu și biologic.
Concret – când păstrăm dintele natural? Tot timpul! Desigur, există câteva mici excepții când pacientul vine prea târziu la medic, dar chiar și atunci evităm să edentăm pacientul până la vindecarea dinților recuperabili sau dacă chiar e nevoie să facem asta, atunci e musai să avem niște lucrări provizorii. Acestea vor stabiliza mușcătura și vor ajuta pacientul să funcționeze normal în cele 6 luni de expectativă, pentru că altfel ce așteptări am avea dacă de exemplu rămân doar grupul frontal superior și inferior. Fără dinți în zona laterală cu siguranță țesuturile parodontale nu se vor vindeca, iar mobilitatea se va accentua!
Rareori am întâlnit dinți atât de afectați parodontal încât să trebuiască extrași, extracția în acest caz fiind comparabilă cu cea a unui dinte de lapte. De cele mai multe ori însă, cu un tratament parodontal minuțios, o igienă făcută cu simț de răspundere și controale periodice, marea majoritate a dinților supraviețuiesc.
Fazele de tratament presupun mai întâi o fază nechirurgicală prin care se îndepărtează tooot tartrul, bineînțeles cu anestezie, într-o singură ședință și neapărat cu ajutorul microscopului sau cu altă sursă de magnificație. Abia aici se poate observa progresul tehnologic, pentru că nu mai lăsăm loc greșelilor și lucrurilor care nu sunt vizibile cu ochiul liber. Cu cât vezi mai bine, clar și mare, cu atât succesul tratamentului crește.
Apoi se corectează toate zonele care ar putea retenționa tartru ca de ex: carii interdentare, plombe vechi cu carii pe lângă sau fără puncte de contact, coroane largi, etc. După aceasta fază , urmează un control de verificare a igienei, pentru a fi siguri că folosiți corect toate armele din dotare. Tot secretul stopării evoluției bolii parodontale stă în calitatea igienei orale făcute acasă și nu contează doar ce se face în cabinet! Urmează să ne mai vedem la control în 6 luni, când vom măsură progresul vindecării, făcând din nou măsurătorile parodontale, de care am discutat în articolul anterior. Abia dupa aceste măsurători, decidem dacă putem regenera defectele osoase, prelungind astfel durata de viață a dinților. Mare atenție, osul pierdut, e bun pierdut, adițiile nu pot regenera decât anumite defecte!
Știu că pare mult de lucru, dar trebuie să nu uităm că acele pierderi de os s-au instalat în ani de zile și corectarea lor în 24h nu poate fi fezabilă. Din fericire, studiile spun că rata de păstrare a unui dinte afectat parodontal la 10 ani, comparativ cu un implant, este de două ori mai mare. Ca să nu mai amintim că tratarea complicațiilor dentare este mult mai simplă și predictibilă decât a celor implantare.
Când punem implant? Când toate condițiile de mai sus au fost întrunite și măsurătorile parodontale sunt în limite normale. Adică, prioritatea în cazul oricărui pacient parodontopat rămâne totuși salvarea celorlalti dinți, stoparea evoluției bolii parodontale și cel mai important, modificarea obiceiurilor de igienă. Dacă aceste condiții nu sunt deja bifate, ai toate șansele ca și implanul tău să sufere la un moment dat de ceea ce numim periimplantită, ce se caracterizează prin pierderea osului în jurul implantului.
A nu se înțelege că nu recomand implantele, din contră, e cea mai rezonabilă variantă de înlocuire a unui dinte lipsă. Ce nu recomand insă e scoaterea dinților pentru a face loc implantelor!
Mă spăl pe dinți și totuși îmi pierd dinții…
Cred că asta e una din cele frecvente concluzii pe care o primesc de la pacienți, numai că adevărul e undeva la mijloc, ca de obicei.
Desigur, toată lumea are o periuță de dinți și o pastă pe care le folosesc dimineața și seara, dar e oare suficient? Răspunsul cinstit e nu și o să îți și spun de ce. Chiar și cel mai corect periaj nu asigură decât igienizarea a aproximativ 60% din numărul suprafețelor dentare. Asta înseamnă că periuța de dinți nu e tocmai suficientă, cu ea reușim să periem 3 din 5 cele suprafețe ale molarilor și premolarilor (exterior, interior și fețele pe care mestecăm) și respectiv 2 din cele 4 suprafețe ale dinților frontali, maxilari și mandibulari (fetele dinspre buze și limbă).

Tot ce e marcat cu verde reprezintă suprafețele interdentare care cumulează 40% din numărul total al suprafețelor dentare. Sunt zonele cele mai neglijate și prin urmare și cele mai “rebele”. Aici apar cariile interdentare, punctul de contact dintre dinți devine treptat mai slab, încep să pătrundă resturi alimentare care tot apasă pe gingie, ducând, în timp, la resorbții osoase și apariția pungilor parodontale. De asemenea, am colorat și ultima față a ultimului molar, fie el molar de minte sau molar de 12 ani, și ea frecvent uitată la periaj.
Așadar, după ce am tot arătat cu degetul ce nu e bine, ce rămâne de făcut ca să îmbunătățim igiena?
Dacă nu ai probleme parodontale și nici nu vrei să ai pe viitor, sau dacă abia ai terminat de tratat corect o gingivită sau o parodontită superficială și vrei să o ții sub control, tot ce iți trebuie e ața dentară sau dacă vrei sa mai faci și altceva în afară să stai toată seara în baie, atunci dușul bucal e salvarea! Acest aparat pe care îl găsești peste tot pe internet, are un capăt prin care scoate apă cu presiune și un rezervor în care e suficient să pui apă de la robinet (nu e nevoie sa pui apă de gură pentru că are un contact de mai puțin de o secundă cu dintele și gingia și nu are timp să exercite vreun efect benefic – apa de gura e eficientă doar dacă clătești intens, minim 30 secunde). Îl folosești între dinți, doar dinspre exterior, nu și dinspre limba pentru că riști să te lovești. Jetul trebuie să fie tot timpul orientat perpendicular pe papilă și niciodată spre interiorul ei pentru că nu facem decât să împingem placa bacteriană spre profunzime. Bineînțeles, o să stropești proaspăt-ștearsa oglindă la primele 2-3 folosiri, dar nu te descuraja, cu perseverență o să poți face asta cu ochii închiși.
În situația în care lucrurile stau ceva mai rău, gingia s-a retras deja și intre dinți se văd multe triunghiuri negre, atunci și acestea vor trebui curățate. Sunt de fapt suprafețe dentare expuse în urma resorbției osoase și pentru a reduce riscul de a se reacutiza o pungă aflată interdentar, după igienizarea cu dușul bucal va trebui să mai folosești și periuțe interdentare. Acestea sunt codate pe culori, iar fiecare culoare corespunde unei mărimi. Cel mai corect e să cumperi un set complet cu cele 6 culori mai frecvente și să vezi care, unde se potrivește. De ce trebuie asa și nu să cumpăram la întâmplare un set pe care ni-l dă farmacistul? Pentru că dacă avem un spațiu foarte mare și folosim o periuță foarte mică, nu facem decât sa pierdem timpul pentru că vom curăța foarte puțin, iar dacă spațiul e mic și periuța prea mare vom ”ajuta” gingia să se retragă. Periuța trebuie sa intre ușor, fără presiune și să umple tot spațiul interdentar. Dacă nu suntem siguri că e asa, luam numărul imediat mai mare și dacă intră greu, înseamnă că cea dinaintea ei e perfectă. Sprijinim periuța când pe o față, când pe alta și le periem, făcând 2-3 mișcări de du-te-vino pe fiecare dinte . E suficient ca acest periaj să fie făcut doar seara, dar e esențial ca boala parodontală să nu recidiveze. Succes! 😀

sursa poze:
https://www.dreamstime.com/stock-photo-dental-arch-image13416820
Ce facem cu fumatul??
E o întrebare pe care și-o pun în egală măsură și medicul și pacientul. Începem sau nu tratamentul la un pacient parodontopat, dar care e și fumător serios (mai mult de 10 țigări/ zi, de peste 1 an)?
Este bine să știi că fumatul este un factor de risc major pentru dezvoltarea oricărei forme de îmbolnăvire parodontală, fie ea o gingivită ușoară sau o parodontită severă. Pe lângă asta, are un impact negativ asupra prevalenței, extinderii și severității bolii , adică ai șanse mai mari să te alegi cu o formă mai urâtă de boală parodontală decât în mod normal, și mai rău de atât, reduce eficiența tratamentului parodontal, indiferent că este chirurgical sau nu.
Ce efecte are fumatul mai exact?
În primul rând, micșorează volumul vaselor sanguine, adică la nivel local aportul de sânge este mai scăzut și cum el este bogat în oxigen și factori imunitari, apărarea locală evident este mult redusă. Astfel, cantitatea și funcțiile neutrofilelor, celulele care aleargă și papă bacteriile rele, SCAD!!!
Dacă ești fumător și te-ai lăsat ( BRAVO !!!), poate ai remarcat ca au început să iți sângereze gingiile mai mult ca înainte. Asta pentru că exista deja o afecțiune parodontală pe care fumatul o ținea bine ascunsă de tine, dar nu și de ochii unui stomatolog care ar trebui sa o poată detecta indiferent ca ești fumător sau nu. De asemenea, recuperarea din vasoconstricția produsă de adrenalina din anestezice durează mai mult, ceea ce favorizează apariția unor zone de necroză locală…
Trebuie să mai știi că vindecarea după un tratament parodontal poate fi deficitară, cu rezultate mai slabe pe termen lung. Grefele osoase pot să nu se integreze la fel de bine, pungile parodontale pot sa reapară și riscul de recidivă este mai mare și dacă mai e nevoie și de implante, nu ești ferit de posibile probleme nici acolo.
Asta nu înseamnă că dacă ești fumător e mai bine să nu faci nimic și să aștepți să-ți cadă dinții. Cu toate că mi-aș dori ca toți pacienții cu boală parodontală să se lase de fumat, în situațiile în care acest lucru nu este posibil în totalitate, am constatat că există un set de “Reguli” pe care dacă le respecți cu sfințenie, ai șanse mari să iți păstrezi dinții cât mai mult timp:
- o igienă impecabilă, făcută cu drag și responsabilitate, ca și cum chiar ți-ai dori să-ți păstrezi dinții
- igienizare profesională și control la 3 luni
- radiografii și măsurători de control o dată pe an la medicul parodontolog
- mai putin de 10 țigări/zi.
Succes! 😉
Două, trei cuvinte despre dinți …
…. pe care orice persoană “health-oriented” ar trebuie să le știe.
Cam așa arată un dinte văzut din profil, cu coroana acoperită de smalț și cu rădăcina complet acoperită de os și gingie –

În mod normal, cam toată lumea ar trebui sa aibă între 28 și 32 de dinți, depinde dacă s-au scos molarii de minte sau nu, sau dacă Mama Natură ne-a dat dinți în plus, uneori chiar în minus sau dacă am urmat vreun tratament ortodontic care a presupus ceva extracții ca să se poată alinia dinții.
În orice caz, dacă știm că am pierdut câțiva dinți, ei bine și acesta e un factor favorizant pentru instalarea unei boli parodontale și nu trebuie neglijat. Dinții sunt fixați elastic de ligament în os ca într-un hamac, dar tot acest ligament îi leagă între ei pentru ca forțele din timpul masticației să fie distribuite la toți dinții. Dacă unul din ei lipsește, toată aceasta continuitate dispare și dintele aflat posterior spațiului gol nu mai are cu cine să împartă sarcinile și treptat începe să se încline, să piardă os și să devină mobil. Asta se întâmplă frecvent în urma extracției molarului de 6 ani, primul dinte permanent care erupe și cam tot primul care pleacă…
Desigur, datorită acestei elasticități și dintele antagonist celui lipsă începe să o ia la plimbare. Nemaiavând cu cine să se întâlnească, treptat coboară, osul rămâne la locul lui, dar dintele ”iese” treptat din el din dorința de a avea contact cu cineva și uite asa alt dinte care devine treptat mobil. Și pentru asta nu e nevoie de bacterii agresive, ci doar de niște dezechilibre functionale.
Voi cum stați cu dinții lipsă?
Sursa foto: http://www.buckley-periocare.com.au
Pentru început, hai să facem încălzirea…
…cu câteva generalități. Sunt sigură că toți cei care au trecut de câteva ori pragul cabinetului stomatologic se întreabă cum apare nenorocirea asta de boală parodontală, de unde știe ea pe cine să aleagă și ce ne facem că pierdem dinți fără pic de durere.
Ei bine, oricât de complicat ar părea, lucrurile sunt de fapt foarte simple – totul pleacă de la bacteriile din placa bacteriană. Placa bacteriană e acel depozit gălbui pe care îl vezi pe dinți dacă ai ratat 1-2 periaje, din motive obiective bineînțeles. Această placă conține, pe lângă resturi alimentare și produși de fermentație acizi, multe, multe bacterii….cam vreo 109. Da, da, nu am greșit, sunt aproximativ un miliard de bacterii în gură și cam 500-700 specii ( asta ca să lămurim de ce nu sunt eficiente vaccinurile, dar o să detaliem într-o altă postare). E un întreg ecosistem care, scăpat de sub control, poate produce daune ireversibile.
Dacă placa bacteriană se depune în mod constant la joncțiunea dintre gingie și dinte, treptat, datorită mineralelor din salivă, ajunge să se transforme în tatru. Acesta favorizează instalarea unei afecțiuni parodontale prin faptul că menține un contact strâns, chiar intim între bacterii și gingie, respectiv dinte. Astfel, le oferim bacteriilor ocazia să lucreze în tihnă la distrugerea țesturilor dentare și parodontale.
Desigur, dacă ne studiem un pic, observăm că în prima etapă gingia se inflamează, devine mai roșie sau chiar violet, e sensibilă la periaj sau sângerează, sau chiar începe să doară la lichide acre. Această fază e complet reversibilă dacă e luată în seamă, în schimb lăsată netratată, din cauza tuturor acestor procese inflamatorii apare resorbția osoasă, lucru care nu se întamplă mâine ci în ani și ani, motiv pentru care un control periodic însoțit de igienizare profesională la 6 luni și o radiografie panoramică o dată pe an, pot preîntâmpina cheltuieli ulterioare.
De asemenea, mulți pacienți se resemnează cumva cu gândul ca și părinții și bunicii au avut ”parodontoză” ( o să discutam si despre terminologie cât de curând ) și nu mai e nimic de făcut. Nimic mai fals. E drept că factorul genetic e și el important – la urma urmei vorbim de o reacție imunitară a organismului la bacteriile proprii, dar el e doar factor favorizant, tot bacteriile din placa aceea pe care o lăsăm liniștită între dinți și pe gingie fac toată treaba. Din acest motiv, chiar dacă mare parte a oamenilor au o igienă medie, unii fac doar carii, alții doar boală parodontală cu dinți albi, impecabili fără un punct de carie, alții le au pe amândouă și cei mai norocoși, nu au mai nimic. Asta înseamna că trebuie doar să ne gândim că, până la proba contrarie, am putea fi în categoria celor deloc norocoși care ar putea avea și carii și parodontită și doar să ne luăm măsuri de precauție din timp. Nu trebuie să devenim ipohondri, ci doar să periem corect și să ne rupem puțin timp pentru controale și profilaxii.
Asa că, ne vedem la control!












